is it possible not to see baby on ultrasound
No it is not possible to miss a 17 week pregnancy on ultrasound. It can be more difficult to see anything using an external ultrasound.
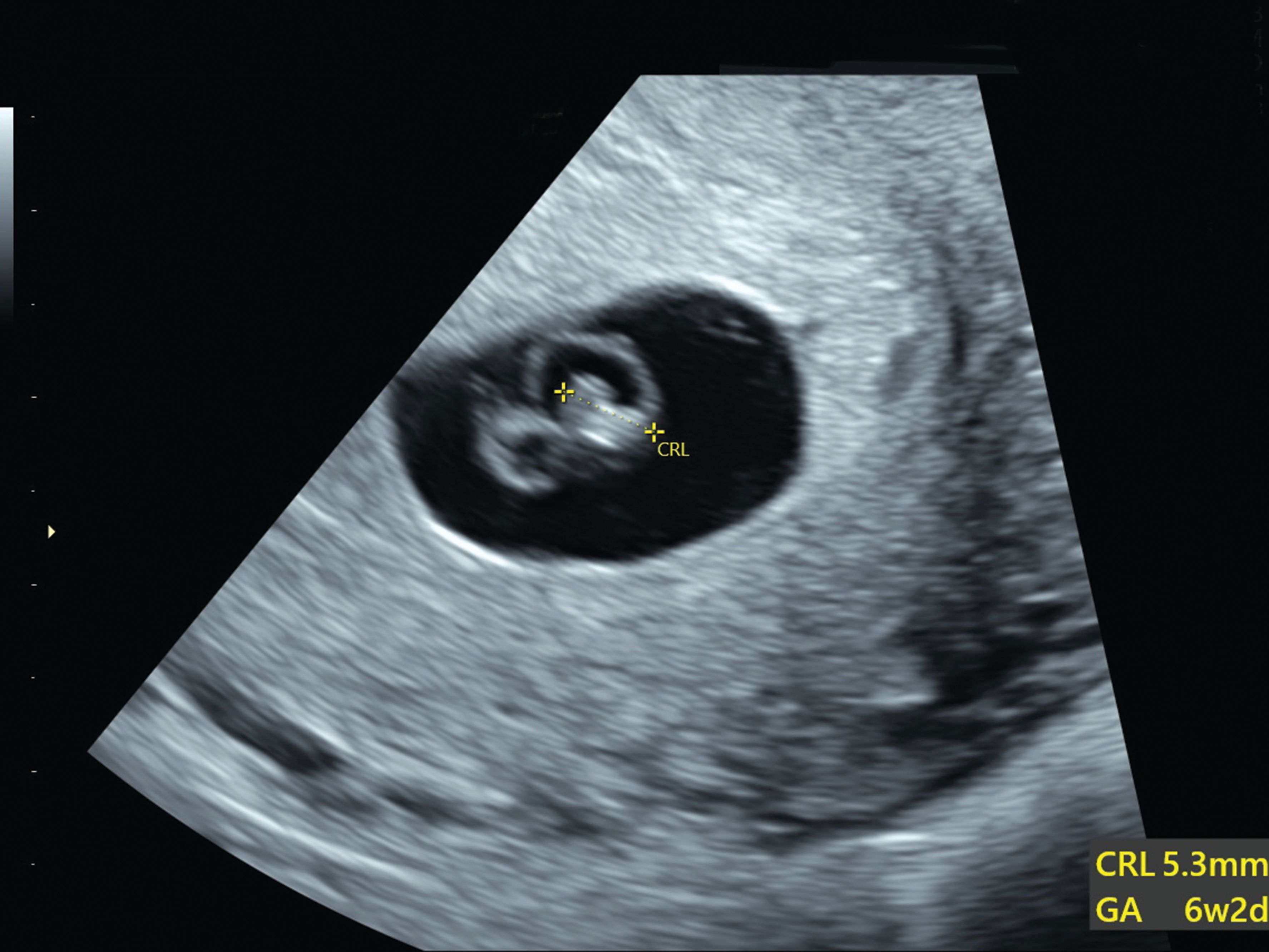
My First Ultrasound Gave Me The Shock Of My Life Today Com
She told me she suspected that this could be a molar or ectopic pregnancy.
. You have had a miscarriage. A tiny sac can be. This is particularly true in the early months of pregnancy.
Not seeing a 17 week pregnancy on ultrasound would be like looking in your garage with a car parked in it and not. Its too early You may have counted the days incorrectly if youre unable to. How late can you see a baby on ultrasound.
Though it is rare it is possible to have a. When you go in for your ultrasound anatomy scan aka the first time you see your baby developed beyond a gestational sac with a heartbeat you probably have images in your. The only person who can really.
If your healthcare provider can only see one baby it is not. Ultrasound can tell us a lot about a pregnancy but its not always perfect. The most common reasons for a pregnancy not appearing on the ultrasound scan are.
But an ultrasound doesnt. While these are the expected times to see the developing pregnancy with an ultrasound not all. I will go back friday to confirm.
It is too soon to see the baby on the scan. Incorrect timing is one of the most common causes of an inability to see a gestational sac on an early ultrasound especially in the absence of. Can a baby hide in an.
I went and had blood drawn my. It is possible to be pregnant and see nothing on an ultrasound. Earlier than this and there will be a visible sack but you wont necessarily see a baby.
Web Incorrect timing is one of the most common causes of an inability to see a gestational sac on an early. Though it is rare it is possible to have a hidden twin that is not visible during early ultrasound screenings. There are a few possibilities as to why the gestational sac doesnt show up during a 5-week ultrasound.
The NP couldnt find anything with either form of ultrasound.
Experiencing Miscarriage Wehavekids
Did You Find Out It Was Twins At Later Ultrasound Twin Ultrasound Twiniversity
The History Of Fetal Ultrasound Pregnancy Imaging Live Science
What Would An Ultrasound Show At 4 Weeks Of Pregnancy Quora
Now You See Me Mum Now You Don T Baby Almost Aborted After Hiding During Pregnancy Scan Daily Mail Online
Early Pregnancy Complications The Gynaecology Ultrasound Centre
Ultrasound Is A Critical Tool Of Managing Miscarriage
Ultrasound Is A Critical Tool Of Managing Miscarriage
Ultrasound Images Of Early Pregnancy
Missed Miscarriage Causes Symptoms And Treatment
12 Week Pregnancy Dating Scan What Will It Tell Me Madeformums
12 14 Week Scan Women S Imaging
Helping You Understand Scary But Often Harmless Pregnancy Ultrasound Findings Your Pregnancy Matters Ut Southwestern Medical Center
Patience Is Key Understanding The Timing Of Early Ultrasounds Your Pregnancy Matters Ut Southwestern Medical Center
5 Weeks Pregnanct Ultrasound Procedure Abnormalities And More
6 Week 1 Day Ultrasound 13mm Sac No Fetal Pole No Yolk Sac Could It Be Ok


